CEREC(セレック)
あなたの歯にあった、オールセラミックで安心の修復物をお作りします。

CEREC(セレック)システムは、ここがすごい!
治療にかかる時間が短く通院が一回で済みます!
規格生産された高品質なセラミックブロックを使用するため耐久性が高く、治療時間も約1時間と非常にスピーディーです。(虫歯の大きさ、神経などの症状により、ほかの治療を優先して行う場合は、当日のセレック治療ができないことがあります)
歯型をとりません!
コンピュータ制御によって歯の修復物を設計・製作するCAD/CAMシステムです。コンピュータを使って修復物を作製するので歯型を取ることがありません。
非常に経済的です!
歯科医院で修復物を作りますのでより経済的です。歯科技工所に依頼することがないため人件費もかかりません。当医院では、4万円からの価格でご相談させて頂きます
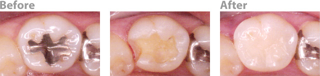
着色や変色、摩耗の心配が少ない、安心・安全のセラミック!
レジン(白い詰め物)による修復治療と比べ、着色や変色、摩擦といった心配が少ない。金属修復物と比べてもプラークがつきにくい。金属アレルギーの心配もありません。
オールセラミックの魅力!
セラミックは、歯との密着性が高いため、今までの金属による治療で「治療したけどまたむし歯になる」という悪循環を終わらせられます。またセレックで使用するセラミックは、工場で規格生産され、不純物などの混入も抑えられ、常に品質が安定しています。
CEREC(セレック)の治療の流れ
STEP1
歯を削った後、3Dカメラで口腔内を撮影(スキャン)を行います。
セレックの型取りは、その歯のみで良いため今までの型取りよりも、より負担が軽減されています。
STEP2
コンピュータの3D画面上で修復物を設計します。モニター上であらゆる角度から、噛み合わせの部分や形を微調整し、理想的な形にします。設計後は、さまざまな色のセラミックブロックから、最も適したブロックの色を選びます。
STEP3
ミリングマシンが設計データを基に加工します。
ミリングマシンと呼ばれる機械(CAM)がコンピュータで設計されたデータをもとに、みるみるうちに、セラミックブロックを削り出し、修復物を精密に整えていきます。
STEP4
口腔内にセットして治療完了です。






