矯正歯科
子どもの矯正治療から大人の矯正治療まで、
患者様一人ひとりに合った矯正治療を行っています。
歯には力を加えるとその方向に移動する性質があります。その性質を利用して口の中に様々な矯正装置を入れて歯に一定の力をかけ時間をかけて歯を動かして治療するのが矯正歯科治療です。
矯正治療の流れ
1. 初診相談
「歯並びを直したいが、どれくらいの期間や費用がかかるんだろう?」
矯正治療に関する疑問やお悩みなどをお聞きしながら診察し、歯科矯正の概略・期間・費用などをご説明します。
2. 検査(セファロ分析)
頭部X線規格写真(セファログラム)は、矯正歯科用の特別なレントゲンで、歯を支えている骨の形や大きさ、歯の傾斜、口もとのバランスなどの状態を正確に知ることができます。また、治療前後の比較が容易にでき、成長発育の予測や矯正効果の判定にも用いられます。 セファロ分析は矯正歯科治療の診断に不可欠な、とても重要な診査です。
セファロ
分析結果
3. 検査結果の説明
検査の結果から、治療方針や方法、治療期間や矯正料金等について詳しく説明させていただきます。診断結果や治療内容に納得いただきましたら、矯正治療を開始いたします。
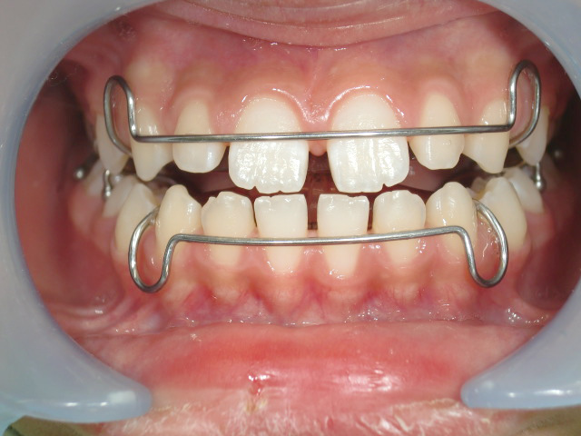
4. 矯正治療開始
矯正装置を装着して歯を動かし、段階的に治療を進めます。反対咬合(うけ口)、上顎前突(出っ歯)、叢生(八重歯、乱ぐい歯)、開口など、歯並びやあごの様子に応じて最適な矯正治療を行います。
5. 保定〜矯正治療終了
矯正装置をはずし、歯の移動終了の説明と治療結果をご説明させていただきます。 かみ合わせが安定するまで保定装置を使って歯がもとに戻ろうとするのを防ぎ、移動した歯を安定させます。






